ブログ

単なる捻挫?
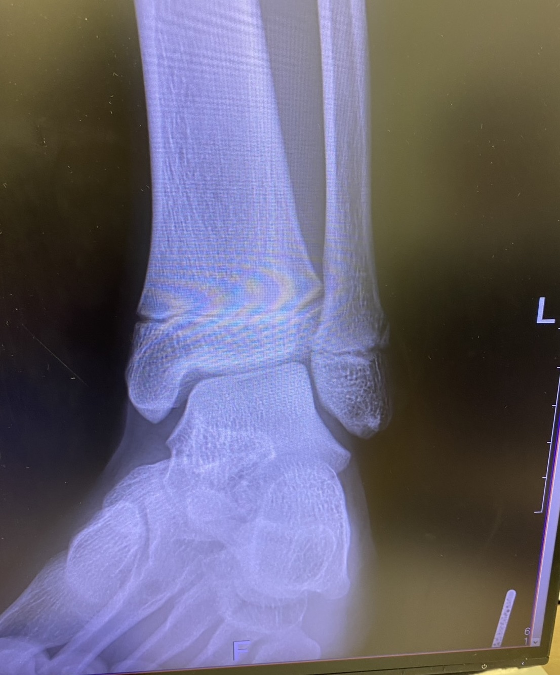
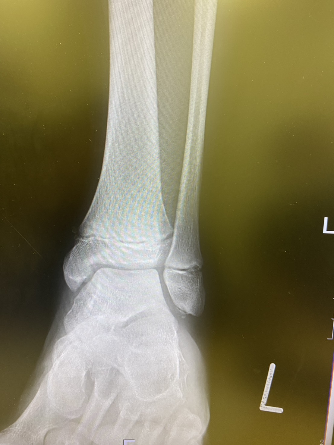
【発生機序】
10月18日 バスケットの試合で走っていてストップした際に相手の足を踏み負傷。
【所見】
左腓骨骨端線から近位にかけての圧痛を認め
歩行時痛(++)内反ストレステスト(+)
超音波検査では下記の様な像が見られました

骨折を伴う骨端線損傷と判断し
近隣整形外科に対診。
結果、予想通り骨折と診断。

お知らせ
ブログ


.jpg)





